ホワイトニングとは?
歯に付着する色素成分を落とすことにより歯を白くする治療法です。
方法としては、歯科医師が歯科医院内で専用の薬剤を用いて行うオフィスホワイトニングと、歯科医師の指導のもと患者さんが、ご自宅で行うホームホワイトニングがあります。
ホワイトニングのメリット
歯を白くすることでイメージは大きく変わります。笑ったときに白くきれいな歯が見えると清潔感があります。
当歯科医院では、日本人の肌の色にあった自然な白さを目指して施術いたします。
結婚式の前などにもお勧めです。
ホワイトニングのデメリット
まず施術が終わって歯に冷たいものがしみるような痛みが出ることがあります。これには個人差があり、痛みといっても違和感程度だったり、感じない方もいらっしゃいます。これは使用する薬剤によって起こるものです。
しかし、一過性の痛みですので、必ず痛みは治まります。
また一回の施術で思い通りの白さにならないことがあります。当歯科医院では患者さんの希望に添えるよう、複数回施術を行います。
ホワイトニングの効果
患者さんご自身の歯でしたら、効果は十分に出ると考えられます。
しかし、被せるタイプの人工の歯にはホワイトニングの効果はありません。この場合には、ホワイトニングではなく、被せ物の歯を作り直す方法や、ラミネートベニアといった方法があります。ご相談ください。
打撲などの外傷歯や神経が死んで変色した歯には、ホワイトニングの効果はそれほど出ないことがあります。
また真白な歯にすることは不可能で、限界の白さには個人差があります。
ホワイトニングの効果の持続期間
その人の生活環境にもよりますが、通常は半年から1年程度とされています。効果を持続させるために「タッチアップ」という方法があります。これは3ヵ月から6ヵ月おきに定期的に、ホワイトニングを繰り返し続ける方法です。
施術料(夏の白い歯キャンペーン価格)
相談料(無料)
むし歯がある場合などホワイトニングが行えない場合があります。
まずは無料カウンセリングを受けていただきます。
オフィスホワイトニング 1回(1日に3セット) 20000円→15000円
虫歯のチェックとクリーニング、終了後のトリートメントを含む
ホームホワイトニング 上下のトレー作製+ホワイトニングジェル4本 25000円→20000円
虫歯のチェックとクリーニング、終了後のトリートメントを含む
デュアルホワイトニング(オフィスホワイトニング1回+ホームホワイトニング) 35000円→30000円
虫歯のチェックとクリーニング、終了後のトリートメントを含む
*オフィスホワイトニングは最大3回まで繰り返し行うことでより白い歯になります。
二回目以降(一回目から一ヶ月以内)は10000円になりますので3回で35000円です。
白い歯を維持するためにオフィスホワイトニングの後にホームホワイトニングを定期的に行う方法を
お勧めします。
キャンペーンは10月末までの予定です。
必ずご予約時にホワイトニング希望とお伝えください。
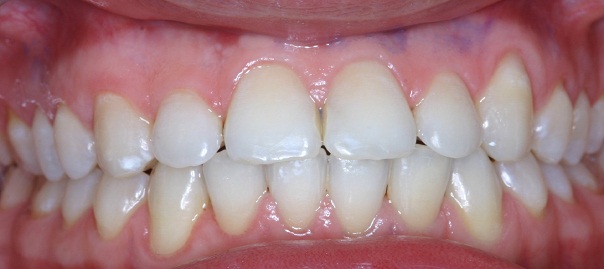
ホワイトニング例

![]()


![]()

〒900-0032
沖縄県那覇市松山1-9-2
TEL 098-866-0648
FAX 098-860-2666
駐車場あり
歯科医院向かい三井のリパーク
(無人コインパーキング)
向かい路地奥の久米パーキング
(有人駐車場)
スマートフォンサイト