


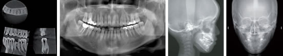
レントゲン撮影装置といたしましては、県内では初めてモリタ社製のベラビューエポックス3Dを平成23年4月1日より導入いたしました。これにより、待望のCT撮影、診断ができるようになりました。
このレントゲン撮影装置は、これ 1台でパノラマ撮影、セファロ撮影(矯正用のレントゲン撮影)、CT(3D)撮影が可能です。 最先端のデジタルテクノロジーを駆使し、より少ないX線照射線量で、高品質画像が得られる、3D画像のためのパノラマX線装置です。 さらに洗練された多彩な画像処理により、多角的な観察ができますので、より的確な診断に役立つことができます。
高感度、高解像度のフラットパネルディテクタ(FPD)による3D撮影と、CCDデジタルカセッテによるパノラマおよびセファロ撮影が可能です。
3D撮影では、φ40xH40mmからフルマウス対応のφ80xH80mmまで同じ高解像度の3D画像が得られます。
レントゲン撮影は、すべてデジタル化されており、通常のアナログ撮影よりはるかに低い放射線量で高画質な撮影が可能です。
さらに、現像、定着等の操作が不要ですので、瞬時にご自身のレントゲン撮影像をご覧になれますし、現像液、定着液等の廃液を出しませんので、環境にも優しいレントゲン撮影装置です。
CT撮影を行うと、具体的には、次のような病気の診断に大きな効果があります。
・治りの悪い歯周病
・根っこと根っこの間にまで進行した歯周病
・歯の根っこの破折
・大きな神経や血管と接触しているおそれがある親知らずの抜歯
・あごの骨の骨折
・顎骨嚢胞、変形性顎関節症、エナメル上皮腫、骨腫、集合性歯牙腫
・悪性腫瘍
・インプラントの治療

デジタルカメラ感覚で使えるポータブルレントゲン。
充実した機能に加え、超軽量・コンパクト。気軽に持ち運びでき、訪問診療には、欠かせない機器です。
■ALL IN ONE
デジタルセンサー、X線装置、モニター、画像処理機能を1台に搭載しています。
デジタルセンサーとフィルムどちらでも使用可能です。
■低被曝
既存X線システムの約1/7の照射量
当医院では、ヨシダ社製の炭酸ガスレーザーを導入していま。
レーザー照射治療は、無痛下で次のような歯科治療で効果を発揮します。
・歯肉(歯ぐき)等の急性炎症、腫れ、痛みの緩和
・歯周病(歯槽膿漏)の治療
・口内炎の治療
・歯肉(歯ぐき)の切開、切除
・歯ぐきの黒ずみ(メラニン色素の沈着)
・知覚過敏症の痛みの緩和
・顎関節症の緩和
・止血







〒900-0032
沖縄県那覇市松山1-9-2
TEL 098-866-0648
FAX 098-860-2666
駐車場あり
歯科医院向かい三井のリパーク
(無人コインパーキング)
向かい路地奥の久米パーキング
(有人駐車場)
スマートフォンサイト