歯科矯正を行う理由としては、大きく分けて2つの理由があります。
まずひとつの理由としては、見た目(審美性)の改善です。
もうひとつは、きちんと上下の歯がかみ合わないので食物が咬み辛い、正しい発音ができないといった「生理機能」を改善する目的です。
矯正治療を行うことにより、この両方を改善することができるのです。
そして正しい咬み合わせを得ることにより、口腔ケア(歯磨き)も行いやすくなり、むし歯の予防や歯周病予防にもつながります。
歯科矯正は病気の治療ではありませんが、ゆとりのある快適な生活をおくるための第一歩であり、健康への第一歩であると考えております。
咬み合わせが気になるという方は、是非当院にご相談ください。
インプラント矯正やワイヤー・ブラケットが他人からわかりにくい矯正のご相談も受け付けております。
当医院では、矯正担当の歯科医師が常勤でおりますので、いつでも気軽にご相談ください。
矯正治療にかかる費用
かみ合わせの状態により費用は様々です。
下記の金額は目安となります。
初回相談料 無料
検査・診断料 2,1000円
混合歯列期
第一期 315,000円
第二期 262,500円
永久歯列 上顎のみ・下顎のみ 262,500円
永久歯列 上下全体の矯正 525,000円
部分矯正 5,2500円〜
リテーナー作製料 21,000円
月一回の調整料 3,150円
※分割払いもありますので、お気軽にお問い合わせください。
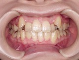
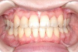
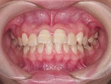
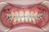
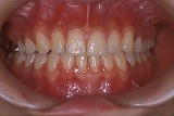
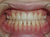
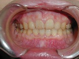
矯正治療の一例(当歯科医院Dr.高橋の症例)
でこぼこの歯並びの治療(叢生)



上の歯が出ている場合の治療(上顎前突)





かみ合わせが上下逆の場合の治療(反対咬合)



前歯がかみ合わない場合の治療(開咬)



かみ合せが深い場合の治療(過蓋咬合)





〒900-0032
沖縄県那覇市松山1-9-2
TEL 098-866-0648
FAX 098-860-2666
駐車場あり
歯科医院向かい三井のリパーク
(無人コインパーキング)
向かい路地奥の久米パーキング
(有人駐車場)
スマートフォンサイト