ノンクラスプデンチャーとは、金属のバネを用いない入歯です。保険の部分入れ歯ですと、金属のバネがあるため、どうしても目立ってしまいます。見た目が悪くなる場合もあります。
ノンクラスプデンチャーの種類は様々で、歯科医院や製作する技工所により呼び名が異なります。十種類以上のノンクラスプデンチャーがありますが、代表的な物には下記のようなものがあります。
・バルブラスト
・フレキサイト
・ルシトーンFRS
・エステショット
・スマイルデンチャー
・ナチュラルデンチャー
・カルデント
・ジェットカーボ義歯
それぞれ特徴がありますので、ネットなどで調べて気になる入れ歯がある場合は、お気軽に歯科医師にお問い合わせください。ご説明をしながら、一緒に検討させていただきます。
| 利 点 | 欠 点 |
|---|---|
| 薄く、軽く、見た目が良く、装着感が良い | 金属を使用しないため、耐久性で従来の義歯に劣る部分がある |
| 弾力性があるため、土台となる歯に負担をかけない | 従来の義歯に比べて修理や修正が難しい |
| アレルギーの心配がない | 保険がきかない |
| 残留モノマーが皆無な為、着色・臭いが付きにくい |

バルプラストは金属の連結部分やバネを用いないため、義歯を入れている事が他人から気付かれにくくなります。
スーパーポリアミドというナイロン系の素材でできているため、薄くて軽い仕上がりです。保険の義歯に比べて約半分の重さです。
バルプラストの特徴は弾力性の高い素材を使用しているため破折にも強く、装着感が良く、金属アレルギーの方にも心配がありません。
また吸水性がなく、変形、変色しにくく、臭いもほとんどつきません。
見えない部分に金属を用いることで、強度や安定感をUPさせた設計も可能です。
バルプラストは50年以上の歴史と実績があります。
エステショットに比べると柔らかいのが特徴です。
海外で作製されている歯科医院もありますが、当歯科医院では国内の技工所で作製しております。
バルプラストと同様のポリアミドナイロン系の入れ歯(スマイルデンチャー・ルシトーンFRS・FlexitePlus・バイオ・トーン・バイオプラスト 硬さや調整しやすさ多少の違いあり)
施術料金
入れ歯でつくる歯の本数により 8万円〜18万円
※バルプラストデンチャーは設計により治療費が変わりますので、まずは、ご相談ください。



■特徴
・金属のクラスプ(入れ歯のバネ)が無いため、見た目が自然で、審美性に優れています。
・弾性があるために、歯茎や残っている歯にかかる負担が軽くなります。
・従来の入れ歯の材料と接着するので、入れ歯の内面の補修や、修理ができます。
・見えない部分に、沈下防止のためや、補強のための金属を付与できます。
・安心して使い続けられるように、残留モノマーや溶出物を低減しています。
エステショットは、ポリエステル樹脂を使用したノンクラスプデンチャー(金属のバネのない入れ歯)です。
多くのノンクラスプデンチャーは、修理や調整がしにくいという欠点をもちますが、エステショットは、修理や調整がしやすいという特徴があります。
バルプラスト同様、見えない部分に金属を用いることで、強度や安定感を向上させた設計も可能です。バルプラストと比較すると少し硬いですが、修理、補修、調整のしやすさが利点となります。
エステショットとバルプラストでは、あなたのお口の中のの状態で、どちらがいいとは一概には言えません。来院していただけましたら、詳しくご説明いたします。
※エステショットの治療費
7万円〜16万円(欠損歯数による)
エステショットデンチャーは、設計により治療費が変わりますので、まずはご相談ください。





![]()


![]()

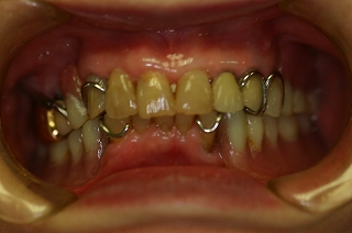
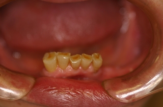
未装着
保険義歯
ノンクラスプデンチャー
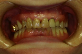
未装着
保険義歯
ノンクラスプデンチャー
※ 当医院では、上記のバルプラストとエステショットをお勧めしていますが、ご希望がございましたら、スマイルデンチャー などの取り扱いもいたします。
お気軽にご相談ください。バルプラスト、エステショットともに厚生労働省の認可を受けています。
[閉じる]
〒900-0032
沖縄県那覇市松山1-9-2
TEL 098-866-0648
FAX 098-860-2666
駐車場あり
歯科医院向かい三井のリパーク
(無人コインパーキング)
向かい路地奥の久米パーキング
(有人駐車場)
スマートフォンサイト