歯ぐきの黒ずみを除去する治療法です。この黒ずみは日焼けと同じ、メラニン色素が原因です。そのメラニン色素を取り除けば歯ぐきは健康なピンク色を取り戻します。
当歯科医院では、薬品を使用する方法とレーザーを使用する方法をご用意しております。症例にあわせて治療方法を選択いたします。施術回数は1〜2回で半月程でピンク色のきれいな歯肉が得られます。
ホワイトニングやインプラントなど、審美的な治療と併せてお勧めいたします。
デメリットとしては、多少のヒリヒリした痛みを数日伴うこと、メラニン色素の沈着の原因はタバコなど刺激により誘発されるので、一度除去を行っても、数年で再度メラニンが沈着することがありますが、予防のための指導も行います。
施術料金
上の歯肉のメラニン除去 10,500円
上下の歯肉のメラニン除去 21,000円
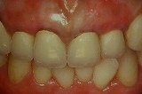
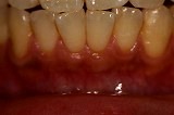
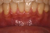
メラニン除去の一例

![]()


![]()

〒900-0032
沖縄県那覇市松山1-9-2
TEL 098-866-0648
FAX 098-860-2666
駐車場あり
歯科医院向かい三井のリパーク
(無人コインパーキング)
向かい路地奥の久米パーキング
(有人駐車場)
スマートフォンサイト